综合新闻

当前位置: 首页 > 综合新闻 > 正文

综合新闻

我校教师在国际顶级学术期刊发表高水平论文

文:马宁帅 图:马宁帅 审核:夏榕 来源:医学影像学院 编辑:马宁帅 日期:2023-05-15 00:00 阅读次数:

马宁帅 马宁帅
审核 夏榕

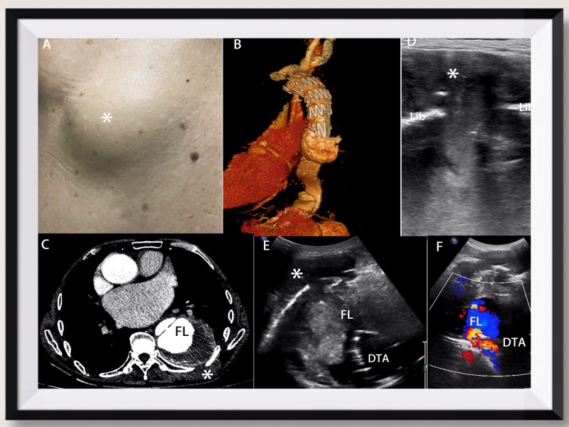
近期,医学影像学院教师马宁帅(第一作者和通讯作者)的研究论文“A rare case of a dorsal mass caused by descending thoracic aortic dissection”在国际顶级学术期刊(中科院分区医学1区)《European Heart Journal》上成功发表(影响因子35.855)。

喜讯 医学影像学院教师在 国际顶级学术期刊发表高水平论文 

文章以一例成因少见的背部包块的病例为基础,详述了B型胸主动脉夹层支架植入术后比较“奇怪”的复发方式以及诊疗过程。作者着重突出了超声和CT相结合在本病中的诊断价值,此类病例通过超声可以实时动态观察到低回声的液体物质在假腔和皮下包块之间来回流动,对于直观形象的理解降主动脉血进入皮下软组织内的病理生理过程起到了良好的辅助作用,该研究成果对于胸降主动脉瘤的诊疗具有重要的借鉴和指导意义。

喜讯 医学影像学院教师在 国际顶级学术期刊发表高水平论文 

马宁帅老师本硕均毕业于我校临床医学专业和影像医学与核医学专业,在校期间曾任大学生学通社社长,发表多篇文学作品和社会实践论文,在《中华核医学与分子影像学杂志》《生物工程学杂志》等核心期刊发表多篇学术论文,作为主研人员参与省级课题研究。先后获得“身边的好医生”、“优秀带习教师”、“住院医师规范化培训优秀教师”等称号。

长期以来,医学影像学院高度重视学生培养质量和教师科研能力提升,通过引导有效科研、组建科研团队、搭建科研实验平台等一系列措施,助推科研对“个人提升、专业建设、学院发展”起到的联动作用。未来,学院将继续将学生培养与师资建设一体推进,鼓励教师注重教学、心系学术,引导学生打好基础、面向科研,完善教育教学科研激励机制,不断加强师资队伍建设,促进师生共同成长。




责任编辑:陈飞宇