综合新闻

当前位置: 首页 > 综合新闻 > 正文

综合新闻

喜报!我校附属医院青年医师张川博士生荣获行业旗舰SCI期刊年度最佳论文

文:李兵 图:李兵 审核:杨汉丰 来源:临床医学院·附属医院 编辑:李兵 日期:2023-01-11 00:00 阅读次数:

李兵 李兵
审核 杨汉丰

喜报!我校附属医院青年医师张川博士生荣获行业旗舰SCI期刊年度最佳论文 

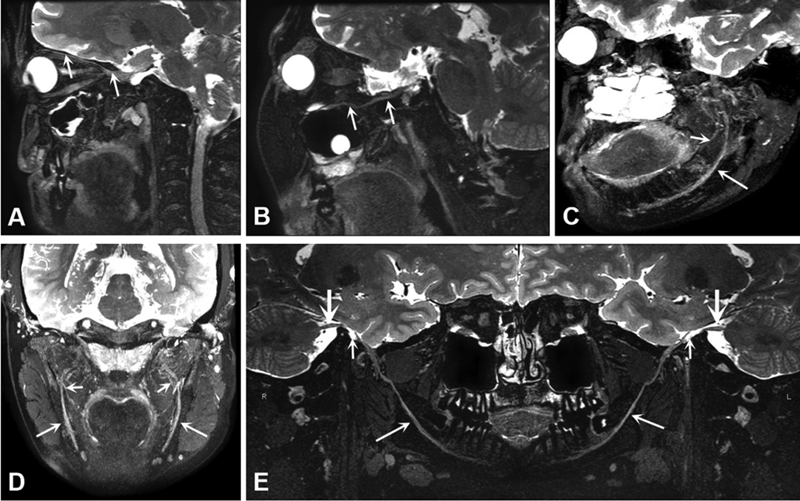
近日,美国口腔颌面外科学院、美国口腔颌面放射学会、美国口腔医学学会和美国口腔颌面病理学会正式公布了其旗舰期刊Oral Surgery, Oral Medicine, Oral Pathology and Oral Radiology 2022年度最佳论文(Best Paper Awards)获奖名单,从该刊2021年7月-2022年6月出版的200余篇论文中,评选出了4篇年度最佳论文我校附属医院放射科疼痛神经影像团队成员张川主治医师(博士在读)发表的学术论文:Magnetic resonance neurography in the management of trigeminal neuralgia: a cohort study of 55 patients(DOI:https://doi.org/10.1016/j.oooo.2021.03.003)荣获该刊年度最佳论文,并被美国口腔颌面放射学会(American Academy of Oral and Maxillofacial Radiology,AAOMR)授予Arthur H. Wuehrmann奖。

美国口腔颌面放射学会已有百年历史,Arthur H. Wuehrmann为该杂志口腔放射学部分的首任主编。本次附属医院放射科疼痛神经影像团队获此殊荣,标志着附属医院在神经成像领域获得了国际认可!

喜报!我校附属医院青年医师张川博士生荣获行业旗舰SCI期刊年度最佳论文 

我校附属医院放射科疼痛神经影像团队长期致力于疼痛影像诊断与微创介入治疗的临床研究工作。本次获奖文章为团队在三叉神经痛领域的阶段性研究成果,团队创新性提出在三叉神经痛的诊断中应关注三叉神经全程各分支、各段的情况,并通过磁共振实现了三叉神经全程及各分支的显像,为三叉神经痛、颌面部疼痛诊断及口腔颌面外科术前评估等提供了全新的视角,具有重要临床意义。

 

责任编辑:陈飞宇