近日,在临床医学院·附属医院对口支援“传帮带”专家夏林的全程精准指导下,凉山州雷波县人民医院放射科团队成功完成该院有史以来图像质量最优的冠状动脉CTA(计算机断层扫描血管成像)检查。这项技术的全方位优化升级,标志着该院在心血管影像诊断领域取得关键性突破,区域心血管疾病诊疗能力自此迈上新台阶。

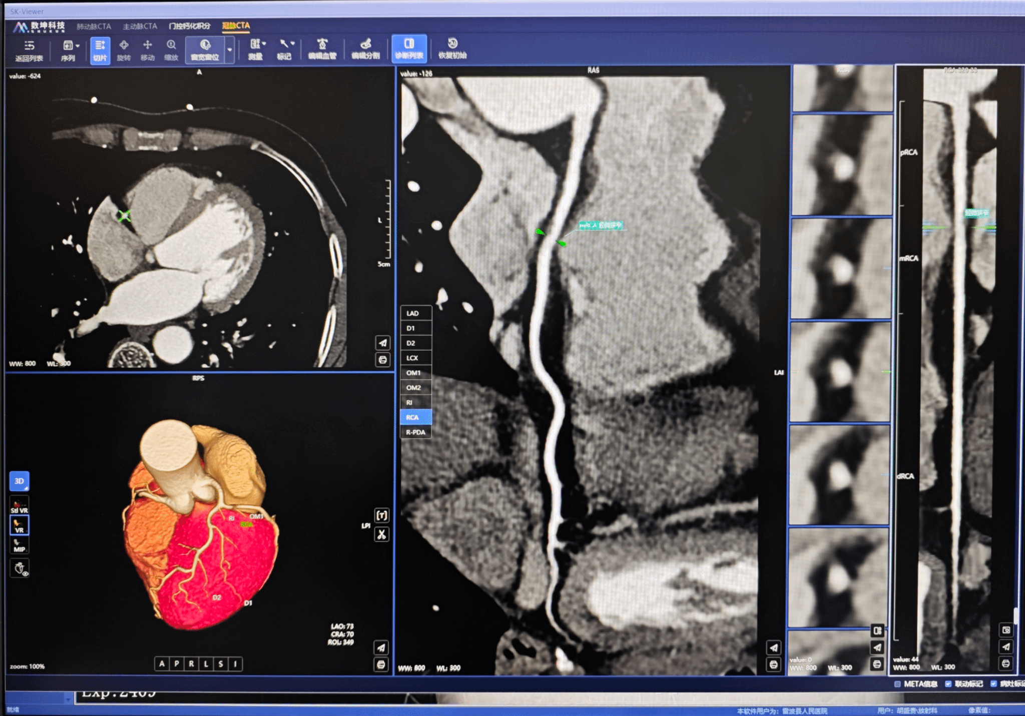
冠状动脉CTA作为高效、精准、无创的冠心病筛查核心技术,其成像质量直接影响临床诊疗决策。夏林与雷波县人民医院放射科严林军等医师深入研讨,通过医院PACS系统调取既往冠脉CTA图像,系统梳理出既往检查中存在的错层伪影、信噪比不足、造影剂浓度失衡、上腔静脉线束硬化伪影干扰等核心问题。检查前,他逐一排查患者身体状况,与家属充分沟通并完善知情同意书签署,筑牢检查安全规范防线。

在夏林的精准把控下,团队从心率调控、呼吸屏气训练、造影剂注射方案优化、静脉通道精准选择,到图像重建后处理等全流程细化打磨,最终获取超高清冠状动脉影像资料,为临床精准诊疗提供了坚实依据。该院放射科海来不者老师看到重建图像后激动表示:“这是联影60排螺旋CT(uCT710)装机以来,我们获得的最优质冠脉CTA图像!”
夏林介绍,县级医院虽受设备条件限制,无双源CT等高端配置,但只要在各扫描环节精益求精、严控干扰因素,国产60排CT完全可产出高质量冠脉CTA图像,切实为基层患者健康保驾护航。

为筑牢该院影像科室可持续发展根基,夏林以“师带徒”模式,与安虎、朱拉古、谭羽祥等当地医师结成帮扶对子,手把手开展实操教学,着力培养本土业务骨干,夯实基层医学影像人才梯队建设。
夏林来自医院放射科,2025年曾赴德国汉堡大学附属医院(UKE)访问研修,深耕国际先进影像技术。此次驻点帮扶,是医院落实国家及四川省医疗人才流动政策、助力区域医疗卫生事业发展的具体实践。作为国家临床重点专科,医院医学影像科涵盖了放射科、超声科、核医学科、介入医学中心四大亚专业,诊疗水平稳居全国前列。
医院将持续发挥省医学中心辐射引领作用,以国家临床重点专科建设为抓手,推动优质医疗资源下沉,助力基层医院专科能力提质增效,为群众提供更优质的医疗服务,为健康中国、健康四川建设注入强劲动力。